16 年
手机商铺
公司新闻/正文
167 人阅读发布时间:2025-07-31 16:55
妙顺生物提供高品质
中华田园猫与缅因猫的
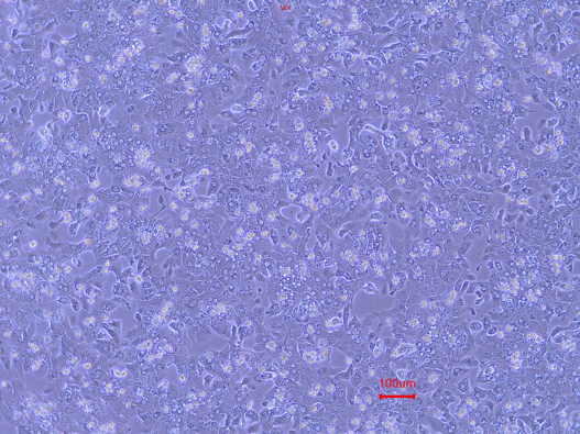
肝细胞和亚细胞结构

妙顺生物提供高品质的猫源原代肝细胞及配套亚细胞结构。 产品经专业标准化流程制备,细胞活性卓越,代谢酶谱完整表达,高度模拟体内生理环境。适用于药物代谢动力学研究、化合物毒性评估及新药筛选开发等关键领域。 现有多种规格现货批次,全程专业冷链运输,精准助力您的科研需求。

“猫设”出道:科研界的反差萌CP

出身中华本土,自带野生基因Buff
必杀技:
“抗逆省钱”
“高清颜值”
“代谢快如闪电”

北欧血统,品种独特
必杀技:
“超稳输出”
“批量生产”
“代谢壕气冲天”

数据暴击:代谢酶活段位赛



高清大片:揭秘细胞“睡姿”

360°无死角写真,贴壁培养让你轻松拿捏!

产品列表

其他亚细胞结构类型产品,欢迎咨询!